快速登录

我已阅读并同意 相关服务条款和隐私政策
账号密码登录
密码登录
我已阅读并同意 相关服务条款和隐私政策
快速登录
首页 >
经导管三尖瓣置换系统(Lux-Valve Plus)随机对照研究顺利收官
2025-09-26

经导管三尖瓣置换系统(LuX-Valve Plus)与药物的随机对照临床试验自2024年10月第一例入组以来,经过近一年的研究,于近日在复旦大学附属中山医院顺利完成了最后一例的入组,至此该试验的所有病例均顺利入组。葛均波院士担任本研究的PI ,参加本研究医学中心有,复旦大学附属中山医院中国医学科学院阜外医院四川大学华西医院上海市第一人民医院首都医科大学附属北京安贞医院广东省人民医院浙江大学医学院附属第一医院上海长海医院厦门大学附属心血管病医院华中科技大学同济医学院附属协和医院福建医科大学附属协和医院以及浙江大学医学院附属第二医院共12家中心。


长期以来,三尖瓣被称为“被遗忘的瓣膜”,但随着全球老龄化加剧,三尖瓣反流的高发病率和预后挑战日益凸显。健世科技自主研发的原创器械LuX-Valve Plus经导管三尖瓣置换系统在理念上勇于创新,采用颈静脉入路,拥有在不依赖径向支撑力的情况下借助室间隔锚定、瓣叶夹持技术构成的“多重锚定”系统,降低了房室传导阻滞的发生率,并通过自适应编织环有效进行心房侧封堵,降低植入瓣膜瓣周漏的发生率。


2020年10月Travel研究使用第一代经右心房穿刺LuX-Valve临床试验,2022年9月Travel II研究使用其二代产品经颈静脉LuX-Valve Plus两项研究均显示了产品的安全性和有效性。TRAVEL II临床研究为单臂临床试验。一年期随访结果在美国经导管心血管治疗学术会议(TCT 2024)上正式全球公布,结果显示复合事件发生率为12.50%,全因死亡率为4.17%,新发III度房室传导阻滞需植入永久心脏起搏器的发生率为2.08%。1年随访时, 95.30%的患者无中度及以上反流,85%的患者由术前 III/IV 级提升至 I/II 级,堪萨斯城心肌病变问卷(KCCQ)评分平均提升21分优于同期的其他三尖瓣产品。


本例收官之作,再度体现了该器械在治疗重度三尖瓣反流疾病的卓越性能。



病例回顾


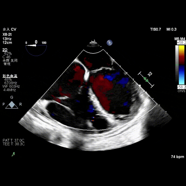
术前超声提示重度反流

术后即刻超声

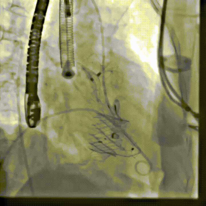
术后造影


此次RCT入组的圆满完成,是LuX-Valve Plus研究征程中的一个重要里程碑,随着研究的深入推进,期待获得更为科学、严谨的临床证据,为三尖瓣介入治疗的发展贡献坚实的数据支持,推动三尖瓣治疗不断前行。




Copyright 2024-2026 AI I right reserved    苏州工业园区东方华夏心血管健康研究院   
苏ICP备16008393号-40     

...

×
...